HOME
院長紹介
診療メニュー
料金表
症例紹介
アクセス
お知らせ一覧
コラム
LINE予約
WEB予約
施設基準に関するお知らせ
HOME
症例紹介
MENU
2025.07.30(Wed.)
18リバー式ベニア治療(色・形改善)
リバー式ベニア(ラミネートベニア)
施術内容
矯正治療
2025.07.30(Wed.)
17リバー式ベニア治療(空隙・矮小歯改善)
リバー式ベニア(ラミネートベニア)
施術内容
矯正治療
2025.07.30(Wed.)
16インビザライン矯正(狭窄歯列改善)
インビザライン
施術内容
矯正治療
2025.07.30(Wed.)
15インビザライン矯正(前歯突出改善)
インビザライン
施術内容
矯正治療
2025.07.30(Wed.)
14インビザライン矯正(前歯アーチ改善)
インビザライン
施術内容
矯正治療
2025.07.30(Wed.)
13インビザライン矯正(狭窄歯列改善)
インビザライン
施術内容
矯正治療
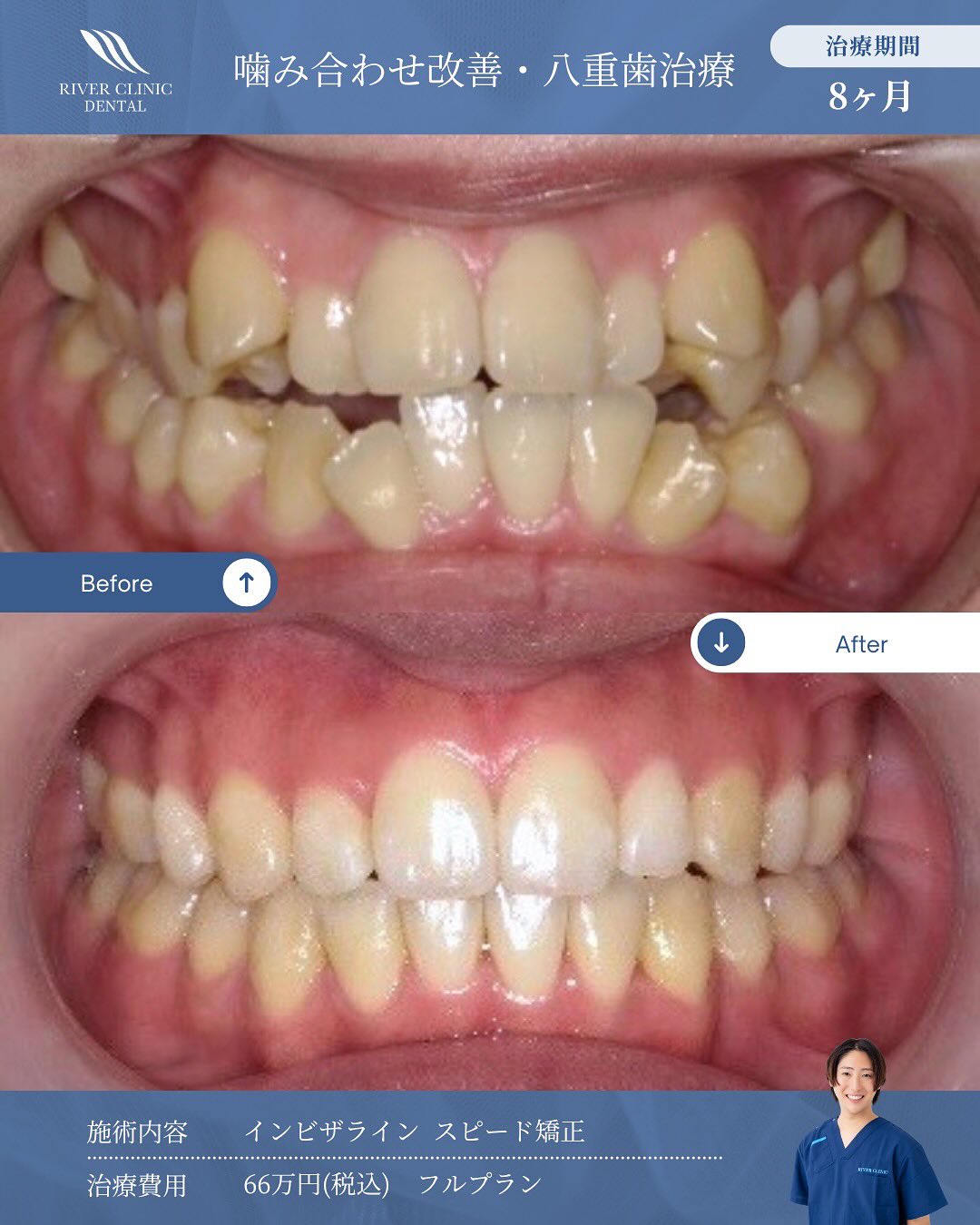
2025.07.30(Wed.)
12インビザライン矯正(噛み合わせ改善、八重歯治療)
インビザライン
施術内容
矯正治療
PREV
1
…
4
…
6
NEXT