HOME
院長紹介
診療メニュー
料金表
症例紹介
アクセス
お知らせ一覧
コラム
LINE予約
WEB予約
施設基準に関するお知らせ
HOME
症例紹介
MENU
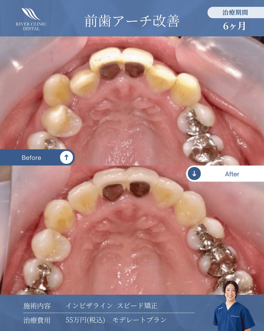
2025.07.30(Wed.)
11インビザライン矯正(前歯アーチ改善)
インビザライン
施術内容
矯正治療
2025.07.30(Wed.)
10インビザライン矯正(八重歯治療)
インビザライン
施術内容
矯正治療
2025.07.30(Wed.)
9インビザライン矯正(裏側部分矯正)
インビザライン
施術内容
矯正治療
2025.07.30(Wed.)
8インビザライン矯正(八重歯治療)
インビザライン
施術内容
矯正治療
2025.07.30(Wed.)
7インビザライン矯正(深い噛み合わせ改善、下顎八重歯治療)
インビザライン
施術内容
矯正治療
2025.07.30(Wed.)
6インビザライン矯正(裏側部分矯正)
インビザライン
施術内容
矯正治療
2025.05.21(Wed.)
5インビザライン矯正(オープンバイト改善)
インビザライン
施術内容
矯正治療
PREV
1
…
5
6
NEXT