MENU


爆速で見た目変わります😊!
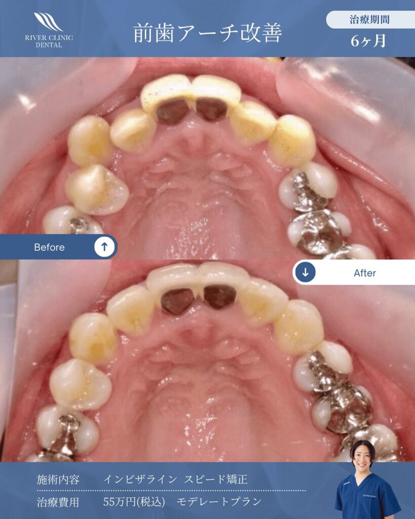
他院で1年以上はかかると言われても半年でアーチ改善して綺麗な歯並びになります💪
ブラックダイヤモンドプロバイダー古居にお任せください‼️
カウンセリングは無料です👌
最短で歯並び綺麗にします💪💪
全国から大人矯正の患者さまが来られています。矯正歯科治療は歯並びを正しい位置へ矯正する治療です。
ブラケットと呼ばれる矯正装置を使って、歯をゆっくりと矯正していくのが一般的です。
矯正歯科治療は「歯並びを改善するだけの治療」と思われがちですが、実は歯並びとともに噛み合わせを改善することも目的の1つになっています。
噛み合わせは全身の健康状態にも影響を与える非常に重要な要素です。
事実、「矯正歯科治療を受けてから肩こりが軽くなった」という声もあがっています。
当院ではインビザラインという矯正治療システムを推奨しています。矯正期間が従来の矯正方法よりも短く、気軽にできるマウスピース型のものです。
歯並びにコンプレックスがある方はまずはご相談ください。整った素敵な歯並びを矯正治療で手に入れましょう。
光加速インビザライン矯正
| 検査代 | 30,000円(税込33,000円) |
| アーリープラン(8枚コース) | 総額 300,000円(税込330,000円) 月々 3,000円(税込3,300円)(120回払い) |
| ライトプラン(14枚コース) | 総額 400,000円(税込440,000円) 月々 4,000円(税込4,400円)(120回払い) |
| モデレートプラン(26枚コース) | 総額 500,000円(税込550,000円) 月々 5,000円(税込5,500円)(120回払い) |
| フル1プラン(Full1コース) | 総額 600,000円(税込660,000円) 月々 6,000円(税込6,600円)(120回払い) |
| PBMヒーリング | 100,000円(税込110,000円) |
| 矯正終了後リテーナー | 29,800円(税込32,780円) |
※上記は2025年7月の料金です。最新の料金は、料金表ページをご確認ください。
痛みが生じる場合がありますが、通常2~3日で落ち着きます。
1日20~22時間(最低20時間)以上マウスピースを装着できなかった場合、予定通りに歯が動かない可能性があります。