HOME
院長紹介
診療メニュー
料金表
症例紹介
アクセス
お知らせ一覧
コラム
LINE予約
WEB予約
施設基準に関するお知らせ
HOME
症例紹介
リンガル矯正
MENU
2025.07.30(Wed.)
24リンガル矯正(アーチ改善)
リンガル矯正
施術内容
矯正治療
2025.07.30(Wed.)
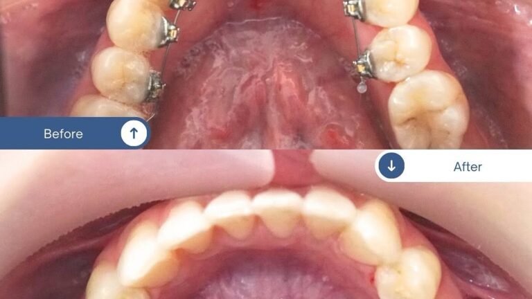
23リンガル矯正(アーチ改善)
リンガル矯正
施術内容
矯正治療
2025.07.30(Wed.)
22リンガル矯正(アーチ改善)
リンガル矯正
施術内容
矯正治療
2025.05.15(Thu.)
1 リンガル矯正(アーチ改善)
リンガル矯正
施術内容
矯正治療